服务中心

CUSTOMER SERVICE

售后服务 技术支持 应用案例 视频指导

靶向狙击骨溶解!LongCyte®助力EV融合研究,破解人工关节松动难题


研究背景

随着全球老龄化加剧,关节置换手术量激增,但假体周围骨溶解(Periprosthetic Osteolysis, PPO) 导致的无菌性松动(Aseptic Prosthesis Loosening, APL) 成为术后首要并发症。📊研究显示:38.7%的膝关节翻修49.2%的髋关节翻修 由APL引发。

核心病理机制:人工关节磨损产生的钛金属等颗粒诱导局部巨噬细胞发生焦亡,释放 IL-1β、IL-18 等炎症因子,激活 RANK-RANKL 信号通路,最终导致破骨细胞过度活化与骨组织吸收。

近期,浙江大学医学院附属第一医院骨科团队在《Journal of Extracellular Vesicles》发表了一项突破性研究,他们创新性地构建了一种由M₂巨噬细胞(抗炎表型)和人脐带间充质干细胞(hucMSC)融合而成的外泌体(fEV),成功实现了对假体周围巨噬细胞焦亡的靶向调控,为预防和治疗PPO提供了新策略。研究中,层浪流式细胞仪LongCyte®在关键环节发挥了重要的验证作用。下面,让我们深入了解这项研究的主要内容:



研究方法与结果
01
骨溶解病灶的病理特征

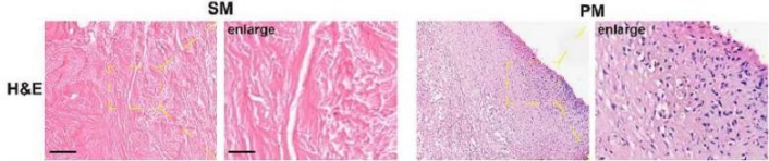
为明确假体周围骨溶解的病理机制,研究对比分析了患者组织样本:以初次置换患者的滑膜组织(SM) 为对照,收集了因无菌性松动导致骨溶解患者的假体周围膜组织(PM)

H&E染色揭示两者显著差异:PM组织呈现结构紊乱,并伴有显著的炎症细胞浸润,这是骨溶解的典型病理改变(图1)。

11111.png图1

进一步探究发现,PM组织存在强烈的巨噬细胞焦亡现象

1. 免疫组化显示,PM炎症区域的焦亡执行蛋白GSDMD表达显著高于SM组织(图2)。

11112.png图2

2. PM组织中促炎因子IL-1β的阳性区域面积更是SM组织的约15倍(P<0.001),表明焦亡相关因子大量释放。

结论: 这些发现共同表明,持续的炎症微环境和巨噬细胞焦亡的激活是假体周围膜(PM)的核心病理特征,它们共同介导了磨损颗粒引发的炎症级联反应和病理性骨吸收过程


02
融合外泌体fEV的制备与鉴定

为精准递送治疗性囊泡至骨溶解区域,本研究创新性地融合了两种功能性细胞外囊泡(sEV):

1.M₂-EV:源自经IL-4 (20 ng/mL) 和 IL-13 (10 ng/mL) 诱导48小时的M2型巨噬细胞(极化效率经层浪生物流式细胞仪检测CD206表达证实,图3),具备天然炎症靶向能力。

11113.png

图3

2.hucMSC-EV:自人脐带间充质干细胞,具有抗炎与骨代谢调控潜能。

通过超速离心法分离获得两种sEV后,利用融合技术构建了融合囊泡 (fEV)。其成功制备与特性通过以下关键实验确证:

1.高效融合验证(流式核心):

a.分别用DiI(红)标记M₂-EV,DiO(绿)标记hucMSC-EV。

b. 流式细胞仪 (LongCyte®)检测显示,当两种EV以 1:1比例融合,双阳性 (DiI⁺DiO⁺) 颗粒比例高达约 35.96%(图4),显著高于单纯物理混合组,证明有效膜融合发生。

11114.png

图4.流式分析:

不同比例 M₂-EV 和 hucMSC-EV 融合情况的结果

11115.png

🔺点击图片了解更多LongCyte®详情

2.物理特性表征:

a.透射电镜 (TEM):原始EV呈碟形(~100-120 nm),而fEV呈形态完整且粒径更均一(~50 nm)的囊泡,利于组织穿透。

b.激光共聚焦显微镜:fEV组红绿荧光信号完全共定位,而混合组信号分离,直观证实融合成功并整合了双亲本特性。

结论: 流式双阳性定量与形态学共定位结果一致,共同确证了兼具M₂-EV靶向性与hucMSC-EV治疗活性的fEV的成功构建。


03

fEV体外抑制巨噬细胞焦亡

为评估fEV的抗焦亡作用,研究在LPS预刺激+钛颗粒诱导的BMDM焦亡模型中进行体外实验。关键发现如下:

1.保护细胞存活活/死染色与LDH释放检测显示,fEV及混合EV能显著逆转钛颗粒诱导的细胞死亡,而单独使用M₂-EV或hucMSC-EV效果有限。

2.抑制焦亡起始信号fEV及混合EV干预显著减弱了LPS+钛颗粒诱导的ASC斑点形成(焦亡关键起始步骤)。

3.下调焦亡关键蛋白Western Blot分析表明,fEV及混合EV处理组细胞裂解物中,焦亡执行蛋白 caspase-1 p20、GSDMD-NT 及成熟IL-1β p17 的表达水平均明显降低

4.减少炎性因子释放细胞上清液分析证实,fEV及混合EV能有效抑制LPS+钛颗粒诱导的IL-1β 和 IL-18 释放

结论: fEV与混合EV在体外模型中展现出相近且显著的巨噬细胞焦亡抑制作用,效果远超单独使用任一种亲本EV。这突显了M₂-EV与hucMSC-EV成分在功能上的协同效应。

04

fEV双向调节骨代谢

体外研究揭示了 fEV 在调节骨代谢平衡中的关键作用:

1.抑制巨噬细胞破骨分化:

a.早期信号抑制:fEV 显著降低 RANKL 诱导的巨噬细胞 ROS 生成(破骨分化关键启动信号)。

b.抑制成熟破骨细胞形成:TRAP 染色显示 fEV 及混合 EV 显著减少破骨细胞数量

c.下调破骨关键蛋白:Western Blot 证实 fEV 显著抑制 NFATc-1、TRAP 和 CTSK 蛋白表达。这些结果共同证明 fEV 有效阻断了巨噬细胞向破骨细胞的分化与成熟。

2.促进 hBMSC 成骨分化:

a.增强成骨标志物:ALP 染色、茜素红 S (ARS) 染色和天狼星红染色一致显示,fEV 及混合 EV 处理 显著增强 hBMSC 的 ALP 活性、钙结节形成和胶原沉积,定量分析进一步证实。

b.上调成骨关键转录因子:Western Blot 表明 fEV 及混合 EV 组 RUNX2 和 Osterix 蛋白表达水平显著高于单 EV 处理组,证明其更强效地促进了成骨分化。

05

fEV体外抑制巨噬细胞焦亡

在钛颗粒诱导的小鼠颅骨骨溶解模型中,fEV 展现出卓越的体内靶向性和治疗效果:

1.准靶向骨溶解区域

a.活体成像 (IVIS):DIR 标记的 fEV 在尾静脉注射后 24 小时于骨溶解区域达到峰值富集,其荧光强度显著高于 hucMSC-EV 组(约 3 倍,P<0.001)和混合 EV 组(约 2.2 倍,P<0.001),证明融合技术(非单纯混合) 是实现高效靶向递送的关键。

b.器官分布:fEV 在肝脾有残留,提示其延长了体内循环时间。

2.著防治骨溶解

a.Micro-CT:fEV 治疗显著改善了钛颗粒引起的骨破坏,表现为增加 BV/TV(骨量)降低 BS/BV(骨表面密度)总孔隙率,效果优于单 EV 组。

b.组织学验证

i. H&E 染色:fEV 减轻炎症浸润,恢复骨组织形态。

ii. TRAP 染色:fEV 显著减少骨溶解区破骨细胞数量

iii. 免疫荧光:fEV 增强成骨标志蛋白 RUNX2 表达,促进骨修复。

3.向抑制病灶区巨噬细胞焦亡

a.免疫荧光证实,fEV 能显著降低骨溶解区域焦亡执行蛋白 GSDMD 和效应因子 IL-1β 的表达水平,效果优于混合 EV 及单 EV 组。

结论: fEV 凭借其主动靶向病灶能力和整合的治疗活性抑制焦亡、调节骨代谢),在体内模型中实现了对假体周围骨溶解的高效防治。


研究意义

本研究通过 M₂巨噬细胞和人脐带间充质干细胞来源的 EV 融合技术构建而成了兼具靶向性与治疗性的 fEV 平台,为假体周围骨溶解提供了 “精准抗焦亡 - 促进骨修复” 的双重治疗策略。尽管在机制解析与临床转化层面仍面临 fEV 对假体松动有效性的深入探索及人体疗效验证、免疫原性和伦理问题、体内安全性评估等挑战,但其创新的技术路径为细胞外囊泡在骨科领域的应用开辟了新方向,为 sEV 在医疗实践中的应用提供新的见解,有望开启再生医学的精准治疗新范式。


参考文献:

Liu, Q., et al. (2024). Fused extracellular vesicles from M2 macrophages and human umbilical cord mesenchymal stem cells for the targeted regulation of macrophage pyroptosis in periprosthetic osteolysis. Journal of Extracellular Vesicles, 13, e70028.


——END——





层浪生物公众号

层浪生物视频号

Copyright © 2020-2023 北京层浪生物科技有限公司 版权所有 京ICP备2022011019号-2 (京)网药械信息备字(2024)第 00146 号


400-1011-131 sale@challenbio.com
北京市大兴区永兴路25号院1号楼4层405室